Smile Gallery

The image shows a close-up of a person s mouth with teeth that have been treated, likely for discoloration or staining.

Before

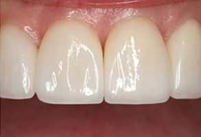
The image shows a close-up of a person s smiling mouth with white teeth, and the individual appears to be middle-aged or older.

After

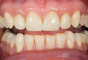
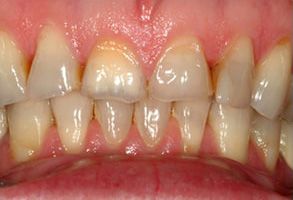
The image shows a close-up of a person s teeth with visible staining and discoloration, emphasizing the need for dental care.

Before

A close-up image of a person s teeth with yellow stains, showcasing the need for dental care.

After

The image shows a close-up of a person s face with an exaggeratedly large smile, revealing teeth and gums.

Before

The image shows a close-up of a person s smiling face, with teeth and lips clearly visible.

After

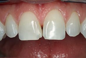
The image shows a close-up of a person s teeth, with the focus on a large gap between two prominent front teeth.

Before

Image of a person s teeth with the top front tooth missing, showcasing a dental implant.

After

The image displays a close-up view of a person s teeth, showing signs of dental decay and the need for professional oral care.

Before

The image shows a close-up view of a person s teeth, which appear to be in the process of being straightened or aligned.

After

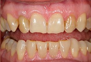
The image displays a close-up view of a person s teeth, showing an upper set with visible signs of wear and discoloration.

Before

The image shows a close-up of a person s teeth, likely for dental or oral health purposes.

After

The image shows a close-up of a person s teeth, which appear to be in poor condition with visible decay and staining.

Before

The image shows a close-up of a person s teeth with a focus on the lower front teeth, which appear to have been recently whitened or are naturally white.

After

Hours of Operation

Monday
10:00 am - 6:00 pm
Tuesday
10:00 am - 6:00 pm
Wednesday
10:00 am - 6:00 pm
Thursday
10:00 am - 6:00 pm
Friday
10:00 am - 5:00 pm
Saturday
8:00 am - 2:00 pm